This cover page represents the article titled "Clinical Case Reports as a Tool for Advancing Personalized Medicine: Is this Real?" which examines the essential role of detailed clinical documentation in shaping individualized healthcare. The article emphasizes how thorough descriptions of rare diseases, atypical presentations, and unique therapeutic responses can reveal critical insights into patient-specific prognoses and treatment strategies. It highlights the historical significance of case reports in driving medical discoveries and their continued relevance in the precision medicine era, where variability between patients is not a limitation but a source of innovation. The discussion addresses the value of integrating genetic, molecular, and lifestyle data into clinical narratives, the ethical considerations in publishing highly detailed patient information, and the importance of maintaining rigorous reporting standards such as the CARE guidelines. Additionally, the article explores future opportunities to link case reports with large-scale biomedical databases and artificial intelligence tools to accelerate the identification of personalized care strategies. The Brazilian Journal of Case Reports reaffirms its commitment to publishing high-quality, detailed case studies that advance the understanding of patient individuality in medicine and invites contributions that exemplify the transformative potential of personalized clinical narratives.

Published: 2026-01-01

Surgical Management of Left Anterior Descending Coronary Artery Aneurysm with Fistula: A Rare Case Report from Suriname

Rosita Bihariesingh-Sanchit, Pieter Voigt, Santosh Gangaram Panday, Prithvi Lachman, Zorana Jagernath

bjcr109

Medial Patellofemoral Ligament Reconstruction Using a Peroneus Longus Tendon Graft Case Report

José Victor Santos Capalbo, Felipe Fuzita Karakanian, Diego Escudeiro de Oliveira, David Bonini Vieira Campanha, Marcos Vaz de Lima, Lorena Morais Miranda, Pedro Baches Jorge

bjcr110

Giant Cell Arteritis Presenting as Ischemic Stroke: A Case Report

Ana Isabel Bento Ferreira Leite, Gonçalo Mesquita, Andreia Mandim, Luis Veiga, Raquel Oliveira, Anita Campos

bjcr111

Right Aortic Arch and Arterial Flow Steal: Case Report

Luciana Yukie Nakagawa, Ana Caroline de Mélo Viana, Maria de Fatima de Lira Silva, Adriene Gonçalves Mota, Renan de Lima Rocha, Marcelo Calil Burihan, Renata Nunes da Silva

bjcr113

Total Thyroidectomy Without Sternotomy for a Massive Retrosternal Goiter with Simultaneous Occurrence of Two Thyroid Carcinomas: Outcomes and Surgical Approach

Rana Alkhelaif , Ebtesam Almajed, Raghad Zohier Ghulam , Ghadah Abdulrahman Algabr, Saud Alrasheedi, Abdulrahman Alzahrani, Adel Alqahtani

bjcr114

Mediastinal Mass: A Diagnostic Odyssey from Iron Deficiency Anaemia to Thymoma

Ana Isabel Bento Ferreira Leite, Gonçalo Mesquita, Andreia Mandim, Luis Veiga, Raquel Oliveira, Filipa Novo, Anita Campos

bjcr115

Non-Hodgkin’s Lymphoma of the Breast: An Unusual Case Report

Andreia Mandim, Maria Eduarda Couto, Raquel Oliveira, Raquel Santos

bjcr116

Effective Multimodal Therapy for Chemically Aggravated Androgenetic Alopecia: A Case Report using PRP and Mesotherapy

Poliana Laís Zanetti Andrade, Fernanda Roberta Casagrande Tomachevski, Aureanna Nairne Negrão Murakami, Andre Gaspar Zinco, Fábio Seigi Murakami

bjcr117

Chronic Ulcer in Traumatic Lymphedema with Difficult Resolution: Treatment and Review

José Maria Pereira de Godoy, Livia Maria Pereira de Godoy, Henrique José Pereira de Godoy

bjcr118

Pulmonary Lymphangitic Carcinomatosis of Small Cell Lung Carcinoma: An Autopsy Case Report

Ronniel Morais Albuquerque, Gabriela Naccarati de Mello, Maria Clara Nascimento Lopes, Murilo Lima Gomes, Amaro Nunes Duarte Neto

bjcr119

Perilunate Carpal Dislocation: A Case Report

Carlos Eduardo Seganfredo Camargo, Luigi Dal Pizzol Coberllini, Matheus Guanabara Fernandes, Rafael Oselame Guanabara

bjcr120

Case Report of Subclavian Artery Injury After Reduction of Right Shoulder Dislocation

Mariana Ferreira Borges Firmo Rodrigues, Emanuel Firmo Rodrigues, Nathalia Andreazza, Lívia Coelho Alves, Pedro Natel Kugler Mendes

bjcr121

High Spinal Anesthesia in a Patient Recently Submitted to an Epidural Blood Patch: A Case Report

Marcos Victor Silveira Crisanto, Katharina Lanza Japolini, Camila Gomes Dall'Aqua, Marina Ayres Delgado

bjcr122

Chronic Pneumocystosis: Differential Diagnosis of Pulmonary Cystic Lesions

Cinthya Martins de Loiola Costa, George Cavalcante Dantas, Fabrício André Martins da Costa, Aline Lobo Ramos

bjcr123

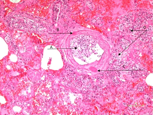
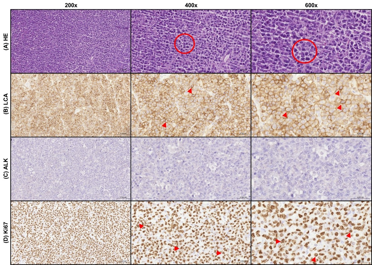
Anaplastic Large Cell Lymphoma, ALK-Negative: A Rare Case with Histopathological and Immunohistochemical Features

Bilal Ramez Bakri, Camila Machado Baldavira, William Marques Pirani, Alexandre Ab’Saber, Vera Luiza Capelozzi

bjcr124

Multisystemic Adverse Reactions to Amlodipine Mimicking Vasculitis

Sudipto Chakraborty, Debroop Sengupta, Mohidur Rahaman, Pradip Dey, Saibal Moitra, Dhiman Sen

bjcr127

Physiotherapy Management Following Surgical Neurolysis for a Peroneal Nerve Injury: A Case Report

Pedro Sérgio Costa da Silva Almeida, Ana Maria Conceição Tomé, João Carlos Martins Felício, Ana Paula de Almeida Fontes

bjcr128

Periapical Actinomycosis of the Mandible in Diabetic Patient: Comprehensive Case Report and Literature Review

Camila Lopes Rocha, Fawaz Alotaibi, David Kim, Laura Earnest, Emily Neeley, João Octávio Pompeu Hyppolito

bjcr129

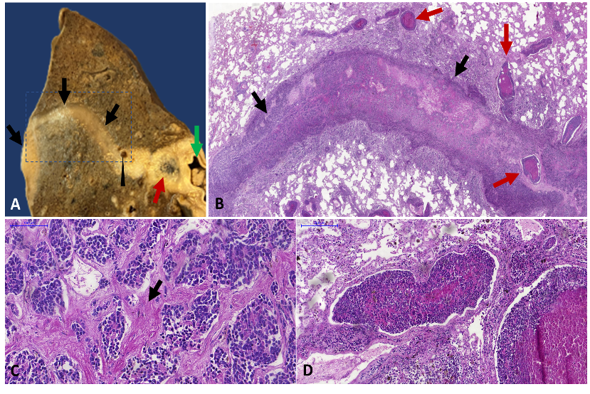
Monophasic Paravertebral Lumbar Synovial Sarcoma in an Adult Patient: Case Report

Bruno Amaral Santos, Beatriz Segatto de Oliveira, Paulo Eduardo Hernandes Antunes, João Guilherme Carvalho de Oliveira Santos, Eloy Theodoro José do Prado, Felipe Hammoud de Menezes, Ellen Diniz de Menezes

bjcr131

Spontaneous Cholecystocutaneous Fistula: A Case Report

Pâmela de Oliveira Gonçalves Rodrigues, Gustavo Ianzer Moraes, João Pedro Valladao de Paula, Amanda Araújo Brasil Duarte, Isadora Mylius, Filipe Gianecchini Rodrigues

bjcr132

Radioiodine Treatment and The Development of Pretibial Myxedema: A Series of Three Cases

Nicolas Perini, Camila Guidi Rossi, Gabriela Salles Martinez, Yedda Carolina Della Torre Rojas, Roberto Bernardo Santos, João Hamilton Romaldini, Danilo Villagelin

bjcr133

Oral Lesions as the First Clinical Sign of Multifocal Paracoccidioidomycosis: A Case Report

Paulo Sérgio Pina, Antônio Roberto Garcia Júnior, Rafael Antônio Souza da Silva, Wallena Albuquerque da Cunha, Décio Santos Pinto Júnior, Celso Augusto Lemos Júnior, Camilla Vieira Esteves

bjcr136

Epstein-Barr Virus and COVID-19 Induced Systemic Inflammatory Response Syndrome and Guillain-Barré Syndrome - A Novel Case Report

Sudipto Chakraborty, Mohidur Rahaman, Pradip Dey, Siktha Purkait, Swagatam Sengupta, Anweshan Mandal, Sanjay Bhaumik, Suresh Ramasubban

bjcr140

Severe Recurrent Hyperinsulinemic Hypoglycemia Associated with Quetiapine in a Patient with Schizophrenia: A Case Report

Inês Grenha, Mariana Maia Marques, Soraia Rodrigues, Leonor Lopes, Juliana Lima Freixo, Mercedes Alvarez

bjcr141

Retropharyngeal Abscess: A Case Report

Mahomed Sidique Abdul Cadar Dadá, Abdul Habib Mahomed Dadá, Zulaikhah Mahomed Sidique Dadá, Jorge Miranda Rodrigues

bjcr142

Unilateral Thyroid Involvement in Graves' Disease: A rare presentation of Graves’ Disease

Nicolas Perini, Letícia Santana de Castro César, Maria Fernanda Maciel, Roberto Bernardo Santos, Danilo Villagelin

bjcr145

Peutz-Jeghers Syndrome Complicated by Intestinal Intussusception: A Case Report

Bárbara Helena dos Santos Neves, Fernanda Nascimento Rosa, Gabriele Mathias, Akihito Inca Atahualpa Urdiales

bjcr146

Pulmonary Thromboembolism After Revision Total Knee Arthroplasty: A Report of Two Cases

António Serrano, João Jesus Silva, Nuno Silva, Afonso Nave, Sara Raposo, Hugo Ribeiro, Joaquim Rodeia, Luís Sobral

bjcr147

Hydrocephalus Due to Neurocysticercosis in the Cerebral Aqueduct: Case Report

Felipe Meireles Dória, Lívia Novaes Teixeira, Matheus Costa Freitas, Isabella Versiani Martins Rocha, Raquel Cordeiro Mendes, Bárbara Bastelli

bjcr148

Sacrococcygeal Teratoma in an Adult: A Case Report and Systematic Review of the Literature

Luan Souza Gomes, Higino Felipe Figueiredo, Cássia Gabriela Assunção Moraes, Daniel Lourenço Lira

bjcr150

Bainbridge-Ropers Syndrome in a Brazilian Child Associated with Duplicated Pyelocaliceal System: A Case Report

Letícia Ferreira Beserra, Guilherme Aresi da Silva, Sarah Cavalcanti Guedes, João Guilherme Bezerra Alves

bjcr152

Triple-Negative Mucinous Breast Carcinoma: A Case Report

Ana Beatriz Bisol Duizith, Ana Carolina da Costa Corrêa, Eloísa Talamini Assef, João Gabriel Vicentini Karvat, João Henrique e Silva Costa, Marina Guimarães Gunther, Maria Cristina Figueroa Magalhães

bjcr154

Varicella Zoster Encephalitis in an Immunocompetent Traveler

Erika Yuki Mogami Bomfim, Bárbara Lopes da Silva, Carina Ferlin Saccomani Vilas Boas, Aimee Elizabeth Correa Alves de Mattos, Bárbara Redondo Shinoda, Ana Paula Rocha Veiga, Alexandre Ely Campeas

bjcr155

Subcutaneous Phaeohyphomycosis in a Patient with Metabolic Comorbidities: A Rare Diagnostic Alert in a Low-Resource Setting

Inggryd Eduarda Possidônio de Souza Santos, Guilherme Alencar de Medeiros, Patrícia Cristina Ribeiro Conceição, Daniel Wagner de Castro Lima Santos, Conceição de Maria Pedrozo e Silva de Azevedo

bjcr157

Transverse Tibial Cortex Transport in the Treatment of Kawasaki Disease

Alexandre Sacchetti Bezerra, João Kleber de Almeida Gentile, Fábio Lucas Rodrigues, João Antônio Corrêa, André Luiz Pereira Fornitano, Natália Rebeque Modolo, Fernando Luvizotto Carvalho, Cláudio Jun Shimizu

bjcr158

Multimodal Diagnosis of Cervical Spinal Cord Compression in a Dog: The Role of Accessible Imaging in Complex Decision-Making

Paulo Ramos da Silva Santos, Laura Formighieri de Noronha, Mariana de Oliveira Barbosa, Luana Canavessi, Radan Elvis Matias de Oliveira, Laura Ayala Lazarotto, Mariana Moratelli, Flávio Shigueru Jojima

bjcr159

Multiple Myeloma Associated with HIV Infection in a Transgender Woman: Case Report and Review of an Integrated Management Approach

Tomás Andrés Lasso Arequipa, Erika Daniela Criollo Pullupaxi, Camila Sinaí Yánez Montenegro, Elian Andrés Urvina Maila, Kimberly Camila Lastra Samaniego, Joselyn Carolina Piarpuezan Contento, Carlos Andrés Vallejo Betancourt

bjcr160

Extranodal Nasal-Type T/NK Lymphoma with Primary Oral Manifestation and Fulminant Course: A Case Report

Flávio José Müller Filho, Isabela de Paiva Locatelli, Paulo Eduardo Hernandes Antunes, Bruno Denardi Lemos, Guilherme Bernardes Rosa Eugênio, André Limeira Tenório de Albuquerque

bjcr161

Severe Rhabdomyolysis in a 20-year-old Fit Individual: A Case Report and Literature Review

João Pedro Olinda de Macêdo, Ana Clara de Oliveira Viana, Flávio José Dutra de Moura

bjcr162

Recurrent Multicystic Peritoneal Mesothelioma in a Young Male Patient: A Case Report

Guilherme Bernardes Rosa Eugênio, Flávio José Müller Filho, André Limeira Tenório de Albuquerque, Giulia Ferrás, Paulo Eduardo Hernandes Antunes

bjcr164

Waardenburg Syndrome Type 1 Coexisting with Unilateral Glaucoma: A Case Report

Lucas Linhares Pierre, Ana Camille Feijão Cisne, Lara Linhares Pierre, Paulo de Tarso Ponte Pierre-Filho

bjcr166

Delayed Recognition of Statin-Induced Immune-Mediated Necrotizing Myopathy in an Older Adult

Daniela Barbosa, Eva Fernandes, Joana Carvalho Sousa, Ana Constante, Sofia Rodrigues Carvalho, Nuno Magalhães, Diana Cruz

bjcr172

Transient Reticular Erythema After Thermotherapy - A Novel Sign to Early Diagnosis of Herpes Zoster: A Case Report

Maria das Neves Dantas da Silveira Barros, Gabrielly Nascimento de Lima, Rafael Cabral de Carli, Guilherme Dantas Campos Pinto, Mário Luciano de Mélo Silva Júnior

bjcr176

Successful Control of Malignant Pericardial Effusion from Endometrial Cancer Using Intrapericardial Chemotherapy: A Case Report

Katherine Estefania Torres Rodríguez, Erika Daniela Criollo Pullupaxi, Jair Sebastián Cordonez Valle, Fátima Belén Del Hierro Arias, Patricio Andrés Granja Tanquino, Berenice Gabriela Jaramillo Eguez, Cindy Nicole Benavides Zavala

bjcr177

Oronasal and Orosinusal Lesions Associated with Intranasal Cocaine Use: Two Clinical Case Reports

Cláudio Maranhão Pereira, Kevin Cavalcante Almeida, Laura Beatriz Sousa Lopes, Lara Bianca Sousa Lopes, Patrícia Freire Gasparetto, Leonardo Araújo de Andrade

bjcr178

Full Spectrum Cannabidiol Oil as a Symptomatic Management Strategy in Geographic Tongue: Case Report with Literature Review

Guilherme Klein Parise, Ana Caroline Silvestre, Laura Gabriela de Oliveira First, Larissa Rodrigues Gasparini, Juliana Lucena Schussel

bjcr179

Spontaneous Pneumomediastinum with Concurrent Pneumopericardium in a Young Woman with Asthma: Clinical-Radiological Correlation and Conservative Outcome

Bruno da Silva Bernardo, Leonardo Castro Luna, Rivelino Trindade de Azevedo, Lúcia Helena Ferreira Vasconcelos, Danielle Furtado de Oliveira, Nathalia Lopez Duarte

bjcr181

Primary Ventricular Palliation in Hypoplastic Left Heart Syndrome: A Case Report

Giovana Ferreira Vaz, Marcos Barbosa Guimarães Carvalho, Maria Eduarda Santos Gomes , João Vitor Mendes da Silveira, Leonardo Sardinha de Paula, Mirna de Sousa , Viviane Soares

bjcr182

Can Extensive Tattoos Make Melanoma Detection More Difficult? Case Report

Keyla Borges Ferreira Rocha, Cláudia Nunes Oliveira, Maiara de Moraes

bjcr183

Atypical Presentation of Gallstone Ileus: A Case Report

Emilly Hanay Mori Santos, Lucas Terasoto, Natalia Elena Trentiny Barbosa, Sarah Alícia Garcia Stier, Alyne Sousa Miranda, Renan de Pizza Terasoto, Raphael Machado de Sá Ferreira

bjcr184

Dental Autotransplantation as a Rehabilitative Alternative in Young Patients: A Case Report

Andrezza Vital Medeiros, Raimundo Thompson Gonçalves Filho , José Lincoln Carvalho Parente, Murilo Alves Teixeira Neto, Hyago Marx Rodrigues Pessoa, Adália Ribeiro Lima

bjcr185

Massive Pulmonary Thromboembolism in a Pregnant Woman Treated with Systemic Thrombolysis in a Resource-Limited Setting: Case Report

Inóspita Coutinho, Lídia Dembi, Edgar Manuel, António Jeremias, Elsa Frederico, Antónia Sampaio, Kavungo André, Evelise Pinto, Agostinho Napato, Edna Ngola, Maria Almeida, Ernesto Ulica, Ermelindo Filipe, Manuela Mendes, Mauer Gonçalves

bjcr187

Endovascular Repair of Brachiocephalic Pseudoaneurysm

Eliana Suárez, Viviana Griego, Alejandro Russo, Santiago González

bjcr138

Hemodialysis Catheter Dysfunction Associated with Persistent Left Superior Vena Cava

Jéssica Martins Torres, Rafael Fernandes Romani, Aline Grosskopf Monich

bjcr163

The Magnitude of Time in Untreated Breast Cancer

Sofia Rodrigues de Carvalho, Daniela Barbosa, Carolina Ventura, Rita Pinto Moreira, Diana Pereira Anjos

bjcr168

When Myeloma Extends Beyond the Bone Marrow: A Rare Pulmonary Manifestation

Rita Moreira, Sofia Rodrigues de Carvalho, Filipe da Cunha Pinto, Júlio Daniel Pacheco, Mariana Santos Freitas, Ana Areia Reis, Diana Pereira Anjos

bjcr171