Chronic Pneumocystosis: Differential Diagnosis of Pulmonary Cystic Lesions
Main Article Content
Abstract
Pneumocystis jirovecii pneumonia is an opportunistic fungal disease that typically presents with a subacute onset of fever, cough, and progressive dyspnea, accompanied by a characteristic diffuse bilateral ground-glass pattern on imaging. However, a minority of patients may have an indolent course and atypical radiological features, such as diffuse pulmonary cysts. Diagnosis should be suspected mainly in immunosuppressed individuals and relies on direct visualization of the fungus through bronchoalveolar lavage, sputum examination, or, less commonly, histopathology in uncertain cases. Although new diagnostic methods are under investigation, they remain costly, non-standardized, and difficult to access. Treatment consists of high-dose trimethoprim-sulfamethoxazole for 21 days, with corticosteroid therapy in selected cases (e.g., PaO₂ < 70 mmHg and increased alveolar-arterial gradient). This disease gained prominence during the HIV pandemic in the 1980s and 1990s. Most studies date from that period and are limited to case series and observational designs, lacking controlled randomized trials, which means treatment still relies on established clinical practice.
This pathology gained prominence particularly after the 1980s and 1990s due to the HIV virus pandemic. The main studies date back to that period and are limited to case series and observational studies, lacking controlled and randomized trials, making its treatment based on historical clinical practice.
Article Details

This work is licensed under a Creative Commons Attribution 4.0 International License.
Authors retain the copyright of their articles and grant the journal the right of first publication under the Creative Commons Attribution (CC BY) license, which allows others to share and adapt the work with proper attribution.
References
Bateman M, Oladele R, Kolls JK. Diagnosing Pneumocystis jirovecii pneumonia: a review of current methods and novel ap-proaches. Med Mycol. 2020 Nov 10;58(8):1015-1028.
Wassermann K, Pothoff G, Kirn E, Fätkenheuer G. Pneumocystis jirovecii pneumonia with atypical radiological findings. Infection. 1996;24(6):420-424.
Rodriguez E, Sanz P, Martin C, De Miguel E, Sanchez F, Alvarez-Sala JL. Cavitary Pneumocystis carinii pneumonia in AIDS. Chest. 1993;103(1):266-268.
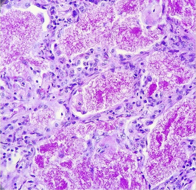
Hartel PH, Shilo K, Klassen-Fischer M, Neafie RC, Ozbudak IH, Galvin JR, et al. Granulomatous Pneumocystis jirovecii pneumonia: clinicopathologic review of 20 cases. Am J Surg Pathol. 2010;34(5):730-744.
Thomas CF Jr, Limper AH. Pneumocystis pneumonia. N Engl J Med. 2004;350(24):2487-2498.
Vogel MN, Brodoefel H, Hierl T, Beck R, von Wulffen W, Märkl B, et al. Differences and similarities of Pneumocystis jirovecii pneumonia in renal transplant recipients and HIV patients: patient characteristics, clinical symptoms and outcome. PLoS One. 2011;6(12):e28236.
Panel on Opportunistic Infections in Adults and Adolescents with HIV. Guidelines for the prevention and treatment of op-portunistic infections in adults and adolescents with HIV. Department of Health and Human Services (DHHS). Updated 2024.
Totet A, Pautard JC, Raccurt C, Nevez G. Genotypes at the internal transcribed spacer of Pneumocystis jirovecii in HIV-negative patients: relationship to clinical presentation. J Clin Microbiol. 2003;41(6):2596-2598.
Roux A, Canet E, Valade S, Gangneux-Robert F, Hamane S, Lafabrie A, et al. Pneumocystis jirovecii pneumonia in patients with or without HIV infection: clinical features and outcome. Chest. 2014;145(3): 661-670.
Gigliotti F, Limper AH, Wright T. Pneumocystis. In: Bennett JE, Dolin R, Blaser MJ, eds. Mandell, Douglas, and Bennett’s Prin-ciples and Practice of Infectious Diseases. 9th ed. Philadelphia, PA: Elsevier; 2020.
Sepkowitz KA, Telzak EE, Gold JW, Armstrong D. Pneumothorax in AIDS. Ann Intern Med. 1991;114(6):455-459.
Thomas CF Jr, Limper AH. Current insights into Pneumocystis pneumonia in non-HIV patients. Curr Opin Pulm Med. 2007;13(3):228-233.
Alanio A, Hauser PM, Lagrou K, Melchers WJG, Helweg-Larsen J, Matos O, et al. ECIL guidelines for the diagnosis of Pneumocystis jirovecii pneumonia in patients with haematological malignancies and stem cell transplant recipients. J Anti-microb Chemother. 2016;71(9):2386-2396.
Larsen HH, Masur H, Kovacs JA, Gill VJ, Silcott VA, Kogulan P, et al. Development and evaluation of a quantitative, touch-down, real-time PCR assay for diagnosing Pneumocystis jirovecii pneumonia. J Clin Microbiol. 2002;40(2):490-494.
Sax PE, Komarow L, Finkelman MA, Grant PM, Andersen J, Smeaton LM, et al. Blood (1→3)-β-D-glucan as a diagnostic test for HIV-related Pneumocystis jirovecii pneumonia. Clin Infect Dis. 2011;53(2):197-202.