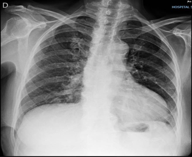
This cover image is based on the Clinical Case Report entitled Long QT syndrome induced by elevated dose of Fluoxetine Cloridrate: case report by Dr. José Victor da Nóbrega Borges and colleagues. This article reported describe a case report of a 83-year-old woman diagnosed with major depressive disorder in use of 80mg/day of Fluoxetine showing Long QT syndrome.

Published: 2023-09-01

Issue Information

Howard Lopes Ribeiro-Junior

1-2

Role of nutritional therapy in the post-COVID syndrome rehabilitation process: a case report

Cintia Galeno Araújo, Milton Alves Danziato-Neto, Rebecca Emanuelle Freitas Lima, Ângela Nirlene Monteiro Vieira Melo, Ana Angélica Queiroz Assunção Santos

12-17

Galactorrhea in infant induced by maternal antidepressants use: case report

Érica Batalha Gomes, Camila Távora Nogueira, Arthur Lopes da Silva Gomes, Aline de Albuquerque Oliveira , Mara Rocha Crisóstomo Guimarães, Heloísa Oliveira Magalhães Belchior, Tiago Moraes Guimarães

30-34

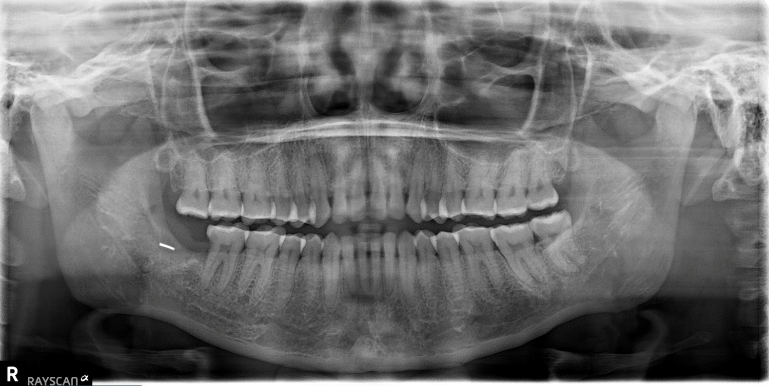
Foreign body in the mandible: a case report

Abdul Habib Mahomed Dadá, Gilberto Coelho Fernandes, Nelsa Maria José Sisto Inácio, Niucha Vasconcelos, Mahomed Sidique Abdul Cadar Dadá

35-39

Surgical treatment of hepatic abscess guided by intraoperative ultrasound

Luis Fernando Rosati, Ana Luiza Rosati, Ana Paula de Carvalho Miranda Rosati Rocha

40-44

Bilateral elongated styloid process: report of a dry skull

Mahomed Sidique Abdul Cadar Dadá, Abdul Habib Mahomed Dadá

45-48

Hemoperitoneum due to deep endometriosis in a patient on peritoneal dialysis with a good response to progestin

Aline Grosskopf Monich, João Luis dos Santos Carneiro, Felipe Gevert, Rafael Fernandes Romani

49-52

Apresentação clínica e terapêutica para Divertículo Epifrênico – relato de caso

Giovanna Schroden Rodrigues da Cunha, Leticia Pardi Borges, Marina Santos Abdanur Carvalho, Laura Prata Rodrigues da Cunha Resende, Luis Eduardo Sepulveda Mesquita, Júlia Borges de Lima Félix, Luís Flávio Vilela de Mesquita

53-60

Trombose em artéria mesentérica superior pós infecção por SARS-COV-2: relato de caso

Henrique Champs Porfírio Carvalho, Roberto da Mata Lenza, Lucas Alves Bessa Cardoso, Douglas Reis Abdalla, Luis Ronan Marquez Ferreira de Souza, João Victor Carvalho Sousa, Ana Júlia Pires Liporaci, Luisa Costa Borges, Mariana Dornfeld Soffiatti Mesquita, Luiz Gustavo Santos Abdanur Carvalho

60-65

Long QT syndrome induced by elevated dose of Fluoxetine Cloridrate: case report

José Victor da Nóbrega Borges, Marta Junqueira Reis Ferraz, Werlley de Almeida Januzzi, Samira Abdel Correia Leila, José Gomes Souto, Gustavo Werneck Ejima

66-70

Stanford type A acute aortic dissection associated with aircraft cabin depressurization: cause or coincidence?

Mauer Alexandre da Ascensão Gonçalves, Humberto Morais, Valdano Manuel, Fernando Coelho, Sheila Gonçalves, Fernando Flora

27-29

Biomechanical analysis of running: correlation between main frontal findings and foot and ankle injuries in amateur runners

Cintia Kelly Bittar, Wilson Mello Alves-Jr., Vitor Mendes Rodrigues, Emilly Sayuri Yamashita , Felippe Ribeiro, Rodrigo Antunes de Vasconcelos

3-11

Hospital mattresses: Thermal disinfection against bacteria, fungi and virus

Taiza Maschio-Lima, Carolina Colombelli Pacca, Bianca Gottardo de Almeida, Gabriela Byzynski, Margarete Teresa Gottardo de Almeida

18-26